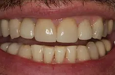
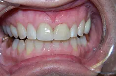
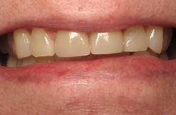
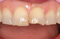
Smile Makeovers
See the before and after results of our dental smile makeovers.
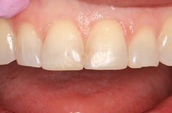
Before

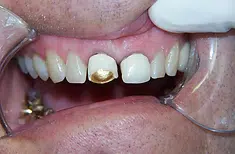
After

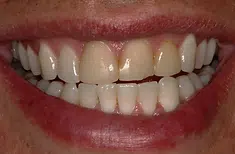
Before

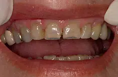
After

Before

After

Before

After

Before
After
Before
After
Before
After
Before
After
Before
After
Before
After
See the before and after results of our dental smile makeovers.







